Loading...
Loading...




A lump in the breast or armpit
Changes in the size or shape of the breast
Dimpling or thickening of the skin
Nipple inversion or
Redness or rash around the nipple
Unexplained breast pain


Breast pain is quite common and is usually linked to harmless causes such as hormonal changes, an ill-fitting bra, muscle strain, or fluid retention. Cyclical breast pain that comes and goes with your period is typically not a concern.
However, pain that is new, persistent, or limited to one area should not be ignored especially if it comes with other symptoms like a lump, nipple changes, or skin dimpling. While pain is not the most common sign of breast cancer, it can occasionally be one of the symptoms.
Accidents or blows to the breast do not cause cancer. Injuries may result in bruising, bleeding under the skin (hematoma), or scar tissue (fat necrosis), which typically improve with time.
Occasionally, a cancer diagnosis follows an injury, but this is only because the incident drew attention to a lump that was already present.
Breast size does not affect cancer risk. What matters more are breast density, excess body weight, family history, and lifestyle factors.
While larger breasts can sometimes make self-checks or imaging more challenging, they don't increase the chance of developing cancer.
There is no direct link between sugar consumption and breast cancer. The concern is that excess sugar can lead to weight gain and obesity, which are established risk factors for several cancers.
Natural sugars from fruits, vegetables, and whole grains are generally fine, while added sugars in fizzy drinks, sweets, and processed foods should be limited for overall health.
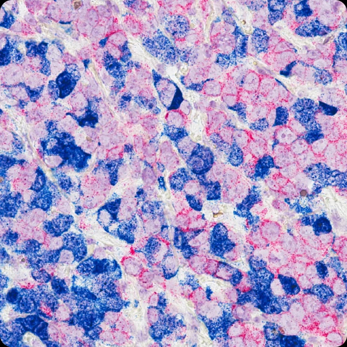
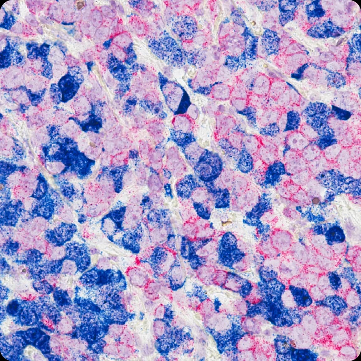
Breast cancer is not a single disease it comes in many different forms. Some of the main types include:
Invasive ductal carcinoma (IDC): the most common type, starting in the milk ducts.
Inflammatory breast cancer (IBC): a rare but aggressive form that causes redness and swelling.
Triple-negative breast cancer (TNBC): lacks hormone receptors and HER2, making it harder to treat with targeted therapies.
Metastatic breast cancer: cancer that has spread beyond the breast to other parts of the body.
Hormone receptorβpositive breast cancer: driven by oestrogen or progesterone, and often treated with hormone-blocking medicines.
HER2-positive breast cancer: has too much of the HER2 protein, but responds well to targeted HER2 therapies.
Each type behaves differently, responds to different treatments, and carries a different outlook.
Not every breast lump is cancer. Many turn out to be harmless conditions such as cysts or fibro adenomas.
However, it is impossible to know for sure without medical evaluation. That's why any new lump or noticeable change in your breast should be taken seriously and checked by a doctor. Your doctor may recommend tests such as an ultrasound or mammogram to find out the cause.
Mammograms are the gold standard for detecting breast cancer early. The test involves gentle compression of the breast to capture clear X-ray images. Neither this compression nor the very low radiation dose causes or spreads cancer.
The benefits far outweigh the risks early detection through mammography can save lives by making treatment more effective.
Breast cancer is not infectious you cannot "catch" it or pass it on. It develops when breast cells grow uncontrollably and form a tumour.
Although you can't completely prevent breast cancer, you can reduce your risk with a healthy lifestyle, awareness of risk factors, and regular screening.
Despite persistent rumours, scientific studies have found no link between deodorant or antiperspirant use and breast cancer.
The American Cancer Society confirms that well-designed research has not shown these products to be a risk factor.
Men can also develop breast cancer, although it is much rarer. It usually presents as a hard lump under the nipple or areola.
Because awareness among men is low, diagnosis often happens later, which can worsen outcomes.